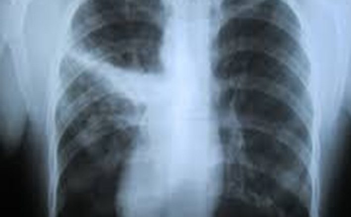
Atelektazi
“Atelektazi” akciğerin tamamının ya da bir bölümüne havanın gitmemesi nedeniyle sönmesidir. Akciğerin ilgili bölümü foksiyon göremez. Atelektazi hava yollarında mukus tıkacı, sekresyon ve balgam birikmesi, hava yoluna kaçan yabancı cisim veya hava yolunu tıkayan tümörlere bağlı gelişebilir. Ayrıca zatürre, göğüs kafesinde sıvı birikimi, akciğer zarı hastalıklarına bağlı da olabilir.
Atelektazide etkilenen akciğer alanının büyüklüğüne göre nefes darlığı ve solunum güçlüğü oluşabilir. Atelektazi vakalarının bir bölümü tedaviye gerek duymadan iyileşirken, göğüs fizyoterapisi, drenaj, bronkoskopi gibi yöntemler ile tedavi edilemeyen ileri vakalarda cerrahi tedaviye ihtiyaç duyulabilmektedir.
